A Varian Eclipse ESAPI v16.1 script for recalculation of photon treatment plans, proton treatment plans and sumplans on all phases of a 4DCT
- Updated
- C#
![]() |
VOOZH | about |
A Varian Eclipse ESAPI v16.1 script for recalculation of photon treatment plans, proton treatment plans and sumplans on all phases of a 4DCT
TOPAS model of the Clatterbridge Cancer Centre, UK 60 MeV Ocular Proton Therapy Beamline
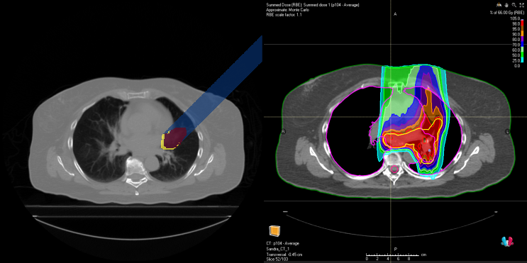
Proton beam geometry optimization to minimize respiratory induced implications for lung cancer proton therapy.
Protocol for plotting calibration curves and beam profiles from film with MATLAB & ImageJ
Add a description, image, and links to the proton-therapy topic page so that developers can more easily learn about it.
To associate your repository with the proton-therapy topic, visit your repo's landing page and select "manage topics."